ΠΑΠΑΓΙΑΝΝΗΣ ΓΕΩΡΓΙΟΣ
Γράμμου 12 / Καστοριά / ΚΑΣΤΟΡΙΑΣ
Χειρουργός Οδοντίατρος Καστοριάς
Παρεχόμενες Υπηρεσιες:
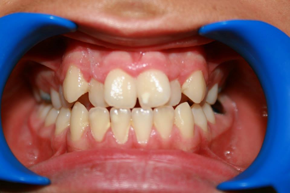
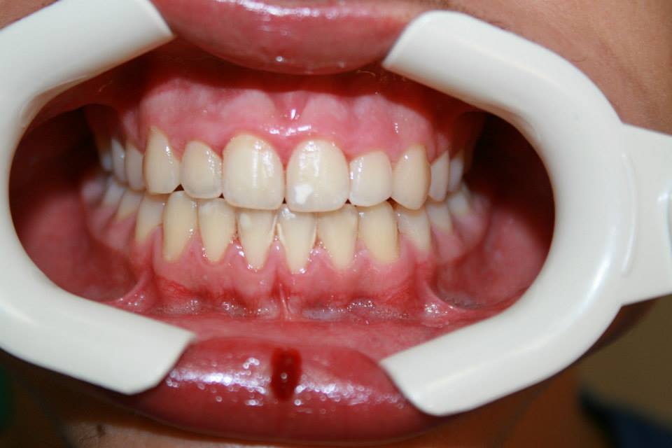
-Αισθητική Οδοντιατρική
-Λεύκανση
-Εφαρμογές Laser
-Ενδοδοντία
-Ορθοδοντική
-Περιοδοντολογία
-Παιδοδοντία
-Τεχνητές Οδοντοστοιχίες
-Εμφράξεις(Σφραγίσματα)
-Προσθετική(Γέφυρες-Στεφάνες)
-Όψεις
-Εξαγωγή Δοντιών
Κατηγορία |
ΥΓΕΙΑ - ΙΑΤΡΟΙ |
Υποκατηγορία |
Οδοντίατροι |
Τηλέφωνο |
2467083875 |
Τηλ.2 - Φάξ |
6948250278 |
Ιστοσελίδα |
|
ΠΑΠΑΓΙΑΝΝΗΣ ΓΕΩΡΓΙΟΣ

Κατηγορία
Τηλέφωνο
Φάξ
Email
Ιστοσελίδα




